Setelah mengetahui sekilas tentang apa itu perawatan LSTR, pada kesempatan ini kami akan memaparkan apa saja yang menjadi keunggulan metode perawatan LSTR.
Artikel
Potensi Regenerasi pada Gigi Permanen Muda
PEDIATRIC DENTISTRY VOL 30 NO. 03 JUNI 2008
Kenneth M. Hargreaves et al
Perawatan nekrosis pulpa pada gigi permanen muda dengan akar yang belum tumbuh sempurna sangat sulit. Saluran akar akan sulit untuk di debridemen dan dapat meningkatkan resiko fraktur. Solusi untuk saat ini adalah dengan melakukan apeksifikasi dan menggunakan bahan kalsium hidroksida dengan jangka panjang.
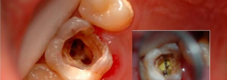
Revaskularisasi Pulpa Gigi Permanen dengan Pembukaan Apikal Pada Pasien Dewasa Muda
-
Yu Wang et al, JOE Vol. 41 No. 09 September 2015
Laporan Kasus Pasien Wanita 39 tahun datang untuk perawatan gigi premolar kedua bawah kanan dan kiri. Seminggu sebelumnya pasien sudah ke dokter gigi umumnya dengan nyeri tajam selama tiga hari pada gigi premolar kedua bawah kiri. Rekam medik menunjukkan kedua gigi tersebut tidak berkaries, namun terdapat dens evaginatus yang fraktur.
Peran pasta tripel antibiotik dalam revaskularisasi dan endodontik – sebuah ulasan
-
Mandwe Ashishi et al, IJCMR Vol. 02 No. 02
Pembukaan Kesuksesan perawatan endodontik tergantung pada supresi microbial pada saluran akar dan regio periapikal. Instrumentasi saja telah terbukti tidak dapat sepenuhnya mengeliminasi bakteri dari sistem saluran akar. Agen-agen kimia dibutuhkan untuk menjangkau area yang tidak bisa dijangkau dengan alat mekanis.
